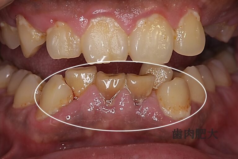
歯肉増殖症(しにくぞうしょくしょう)とは、歯周病の一種で、種々の原因によって歯肉の過形成が起こることである。
分類
単純性歯肉増殖
歯肉の組織の増殖と、血管の反応性の変化が合併したもの。浮腫は辺縁歯肉に限局している。歯肉溝から滲出液が確認されることもある。 口呼吸があると発症しやすい。
歯肉線維腫症
歯肉象皮症とも呼ばれる。非炎症性の歯肉増殖。上下顎の歯肉全体が増大し、歯冠が歯肉に覆われることもあり、この場合に「乳歯の萌出遅延」によって発見・診断される場合もある。
薬物誘発性歯肉肥大
種々の薬物によって引き起こされる。
- フェニトイン
- てんかんの治療薬の一つであるフェニトインを長期間服用することで、約50%の患者に発生する。若年者に好発する。再発は多く、特に口腔内の衛生状態の悪い場合は注意が必要である。
- ニフェジピン
- 主に前歯部歯肉乳頭に発生し、舌・口蓋部へと進行していく。プラークコントロールが良好であれば歯肉増殖は抑えられる。重度の場合は歯肉切除術を行う。高血圧症、狭心症の治療薬であるカルシウム拮抗薬 ニフェジピンを服用する患者の15~20%に発生する。ニフェジピンによる発生機序は明らかにはなっていないが、歯肉溝のニフェジピン濃度は血中のそれよりも高いことが関係していると考えられている。
- シクロスポリンA
- 免疫抑制剤であるシクロスポリンAの内服患者の25%~30%に発生する。
脚注
診療科
- 歯科(ただし、薬物投与による場合は投与した医師との連携が重要である)
関連項目
- 歯周病




